Die Behandlung mit sogenannten Alignern wird immer beliebter. Jede Zahnstellung ist individuell, so auch jede Behandlung. Als Planungsgrundlage dienen Fotoaufnahmen, digitale Zahnabdrücke und spezielle Röntgenbilder mit modernsten digitalen Techniken. Jede Behandlung planen wir individuell und erklären Ihnen die einzelnen Schritte.
Unsichtbar
Zahnkorrektur mit durchsichtiger Kunststoffschiene
Ablauf
Behandlungsdauer
ab 3 Monaten bei kleinen Zahnkorrekturen
Technologie
Invisalign© oder vom privaten Techniklabor hergestellte Aligner
Tarif
Taxpunktwert: CHF 1.00 (neuer Tarif seit 2018)
Versicherungsdeckung:
je nach Zusatzversicherung bis zu 100 Prozent
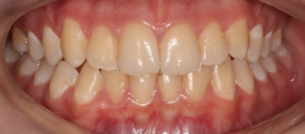
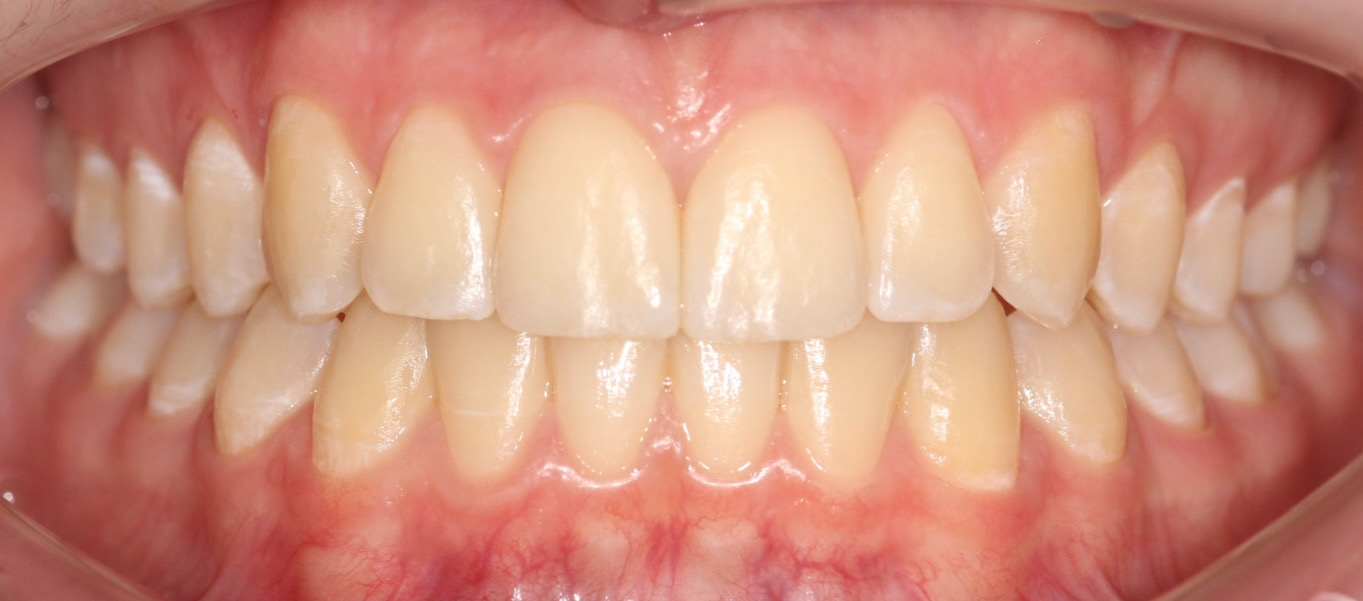
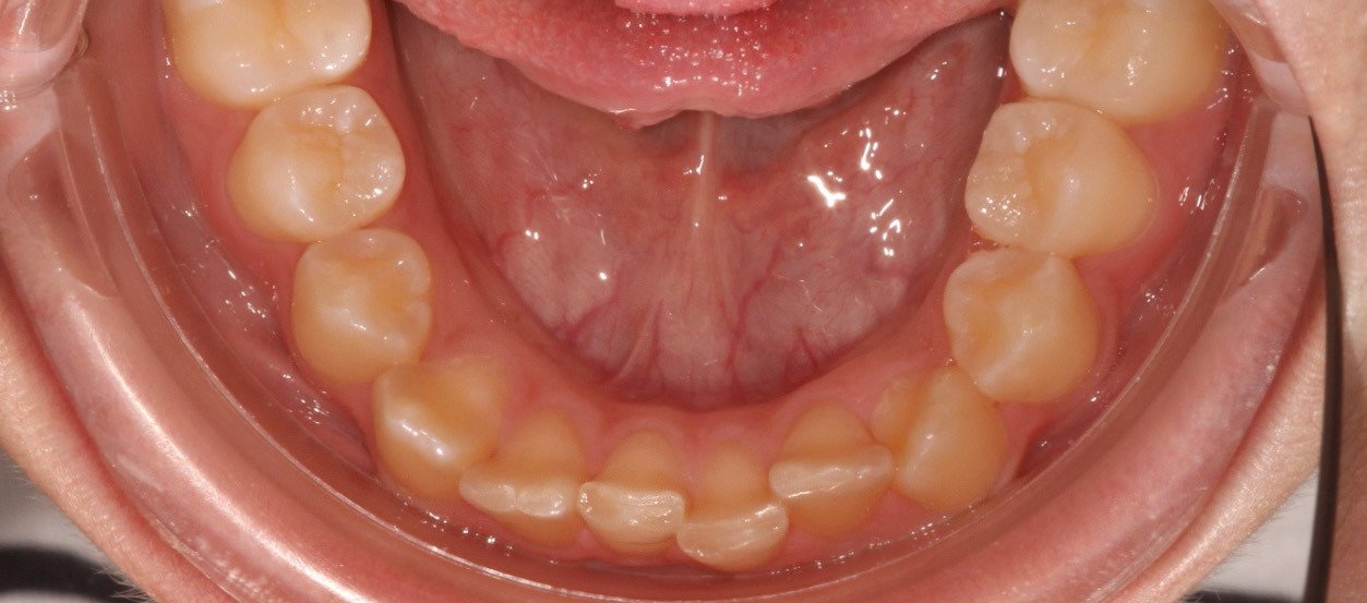
Vorher / Nachher






Haben Sie Fragen?
Zögern Sie nicht uns zu kontaktieren.
Wir werden uns schnellstmöglich bei Ihnen melden.





