Herausnehmbare Zahnspangen sind besonders bei Kindern im Wachstum effektiv. Oft werden diese in der Nacht eingesetzt. Jede Zahnstellung ist individuell, so auch jede Behandlung. Als Planungsgrundlage dienen Fotoaufnahmen, digitale Zahnabdrücke und spezielle Röntgenbilder mit modernsten digitalen Techniken. Jede Behandlung planen wir individuell und erklären Ihnen die einzelnen Schritte.
Abnehmbar
Zahnkorrektur mit herausnehmbarer Zahnspange
Ablauf
Behandlungsdauer
6 – 12 Monate
Technologie
Plattenapparaturen, Bimaxilläre Geräte (Bionator, Aktivator, Vorschubdoppelplatten), Headgear
Tarif
Taxpunktwert: CHF 1.00 (neuer Tarif seit 2018)
Versicherungsdeckung:
je nach Zusatzversicherung bis zu 100 Prozent
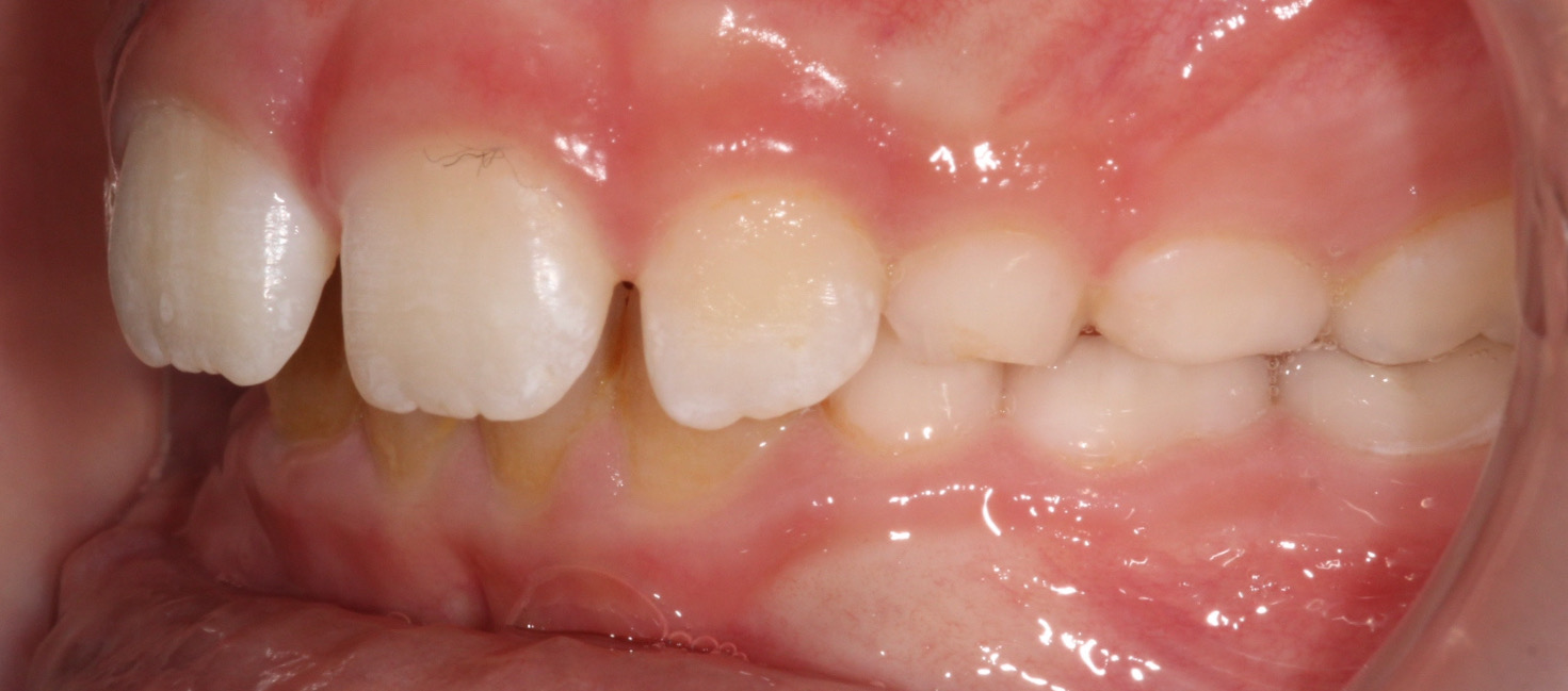
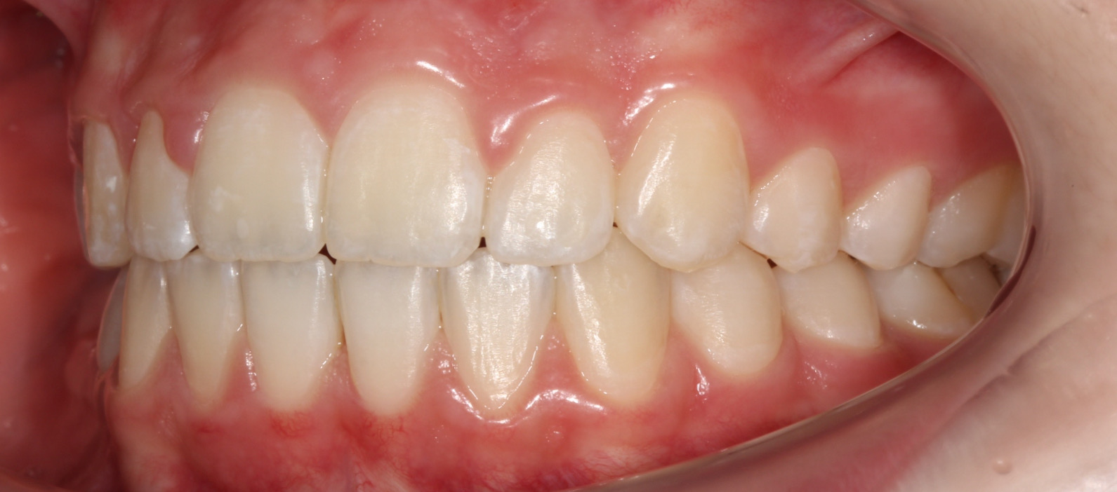
Vorher / Nachher


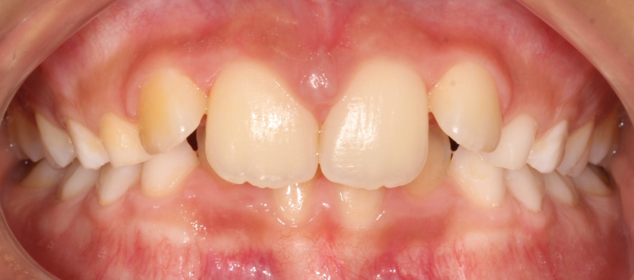
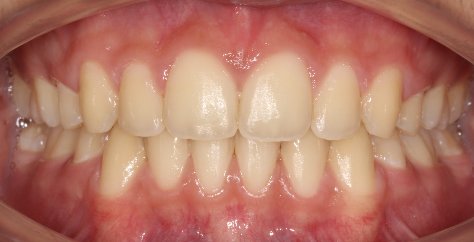
Therapie mit Plattenapparatur, Monobloc/Headgear („Nachtspange“), festsitzende Apparatur


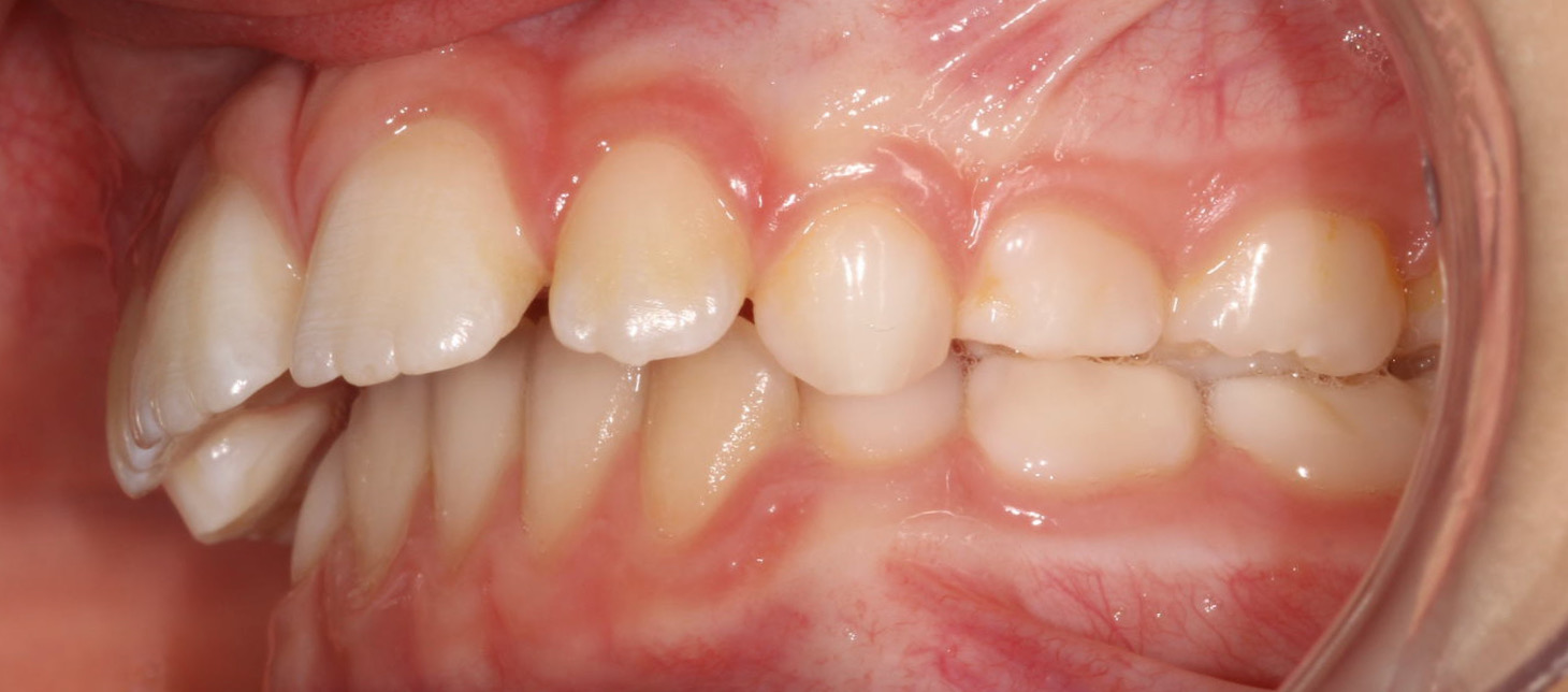
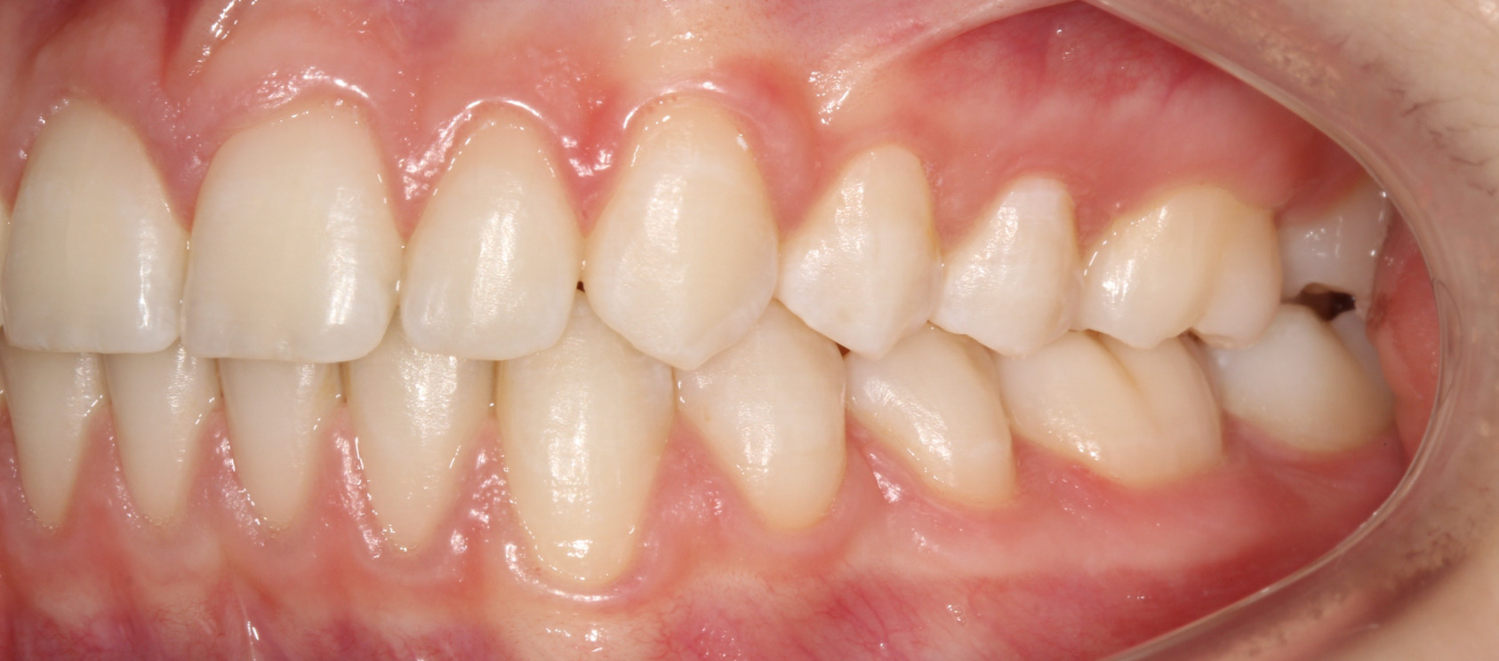
Behandlung mit Plattenapparatur, Bionator („Nachtspange“), festsitzende Apparatur


Therapie mit Plattenapparatur, Monobloc („Nachtspange“), festsitzende Apparatur
Haben Sie Fragen?
Zögern Sie nicht uns zu kontaktieren.
Wir werden uns schnellstmöglich bei Ihnen melden.





