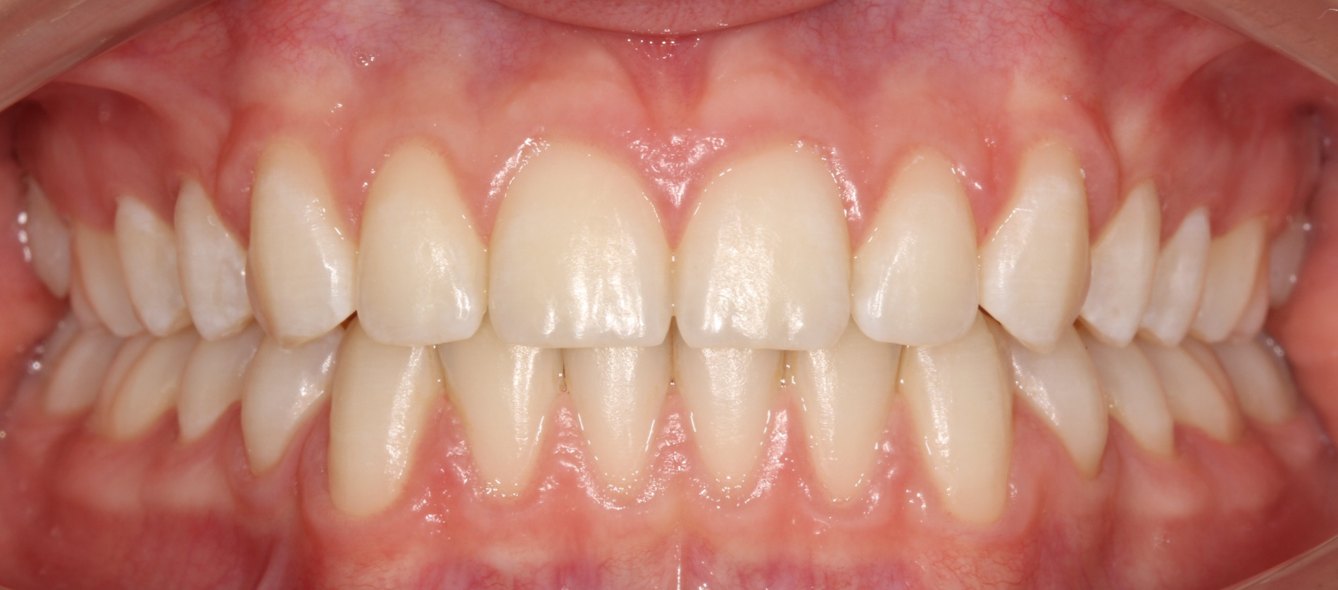
Fixe Zahnspangen («Gartenhag») werden hauptsächlich im bleibenden Gebiss eingesetzt. Spezielle Brackets ermöglichen eine besondere Ästhetik. Jede Zahnstellung ist individuell, so auch jede Behandlung. Als Planungsgrundlage dienen Fotoaufnahmen, digitale Zahnabdrücke und spezielle Röntgenbilder mit modernsten digitalen Techniken. Jede Behandlung planen wir individuell und erklären Ihnen die einzelnen Schritte.
Festsitzend
Zahnkorrektur mit fixer Zahnspange
Ablauf
Behandlungsdauer
ca. 1 bis 2 Jahre
Technologie
Metall-Brackets, Keramik-Brackets oder Lingual-Brackets (unsichtbar)
Tarif
Taxpunktwert: CHF 1.00 (neuer Tarif seit 2018)
Versicherungsdeckung:
je nach Zusatzversicherung bis zu 100 Prozent
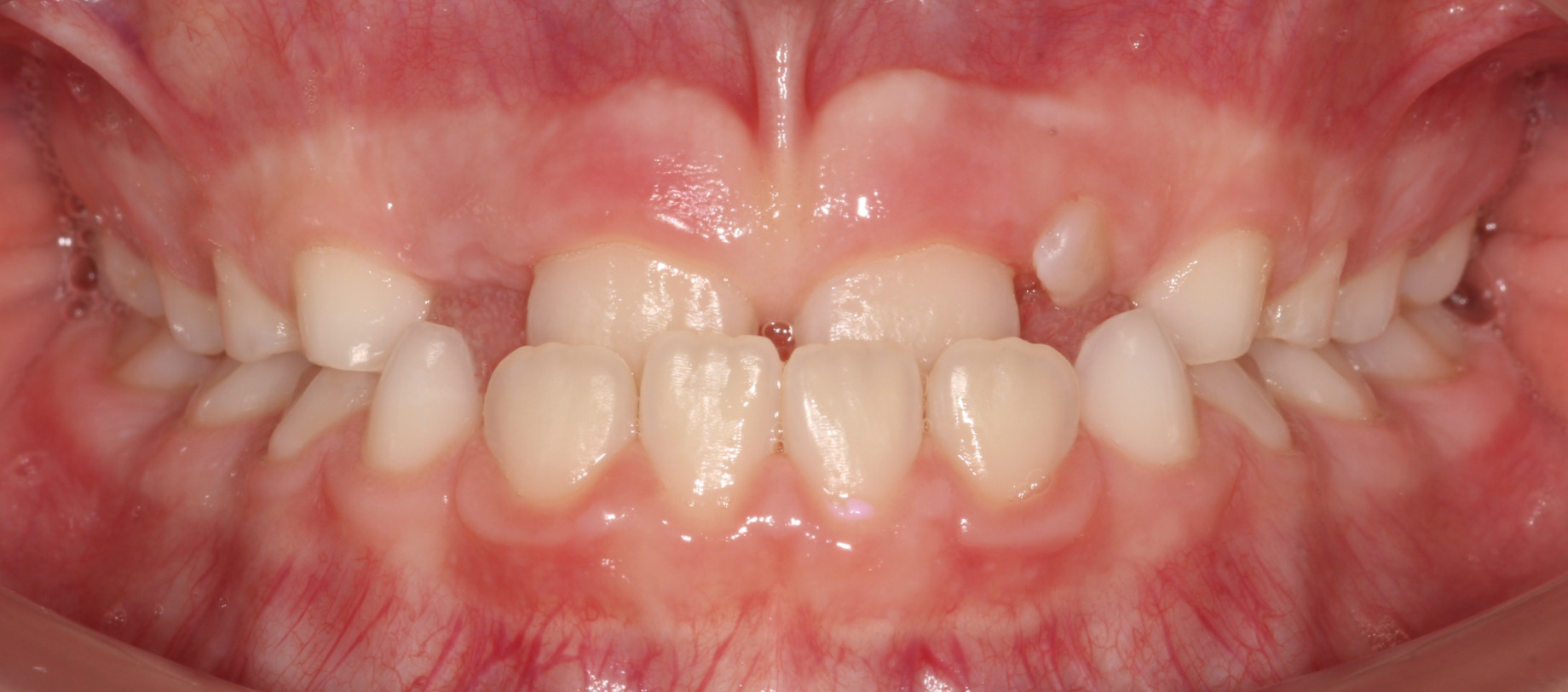
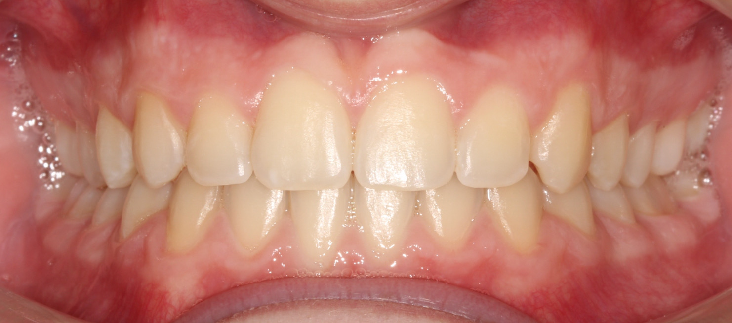
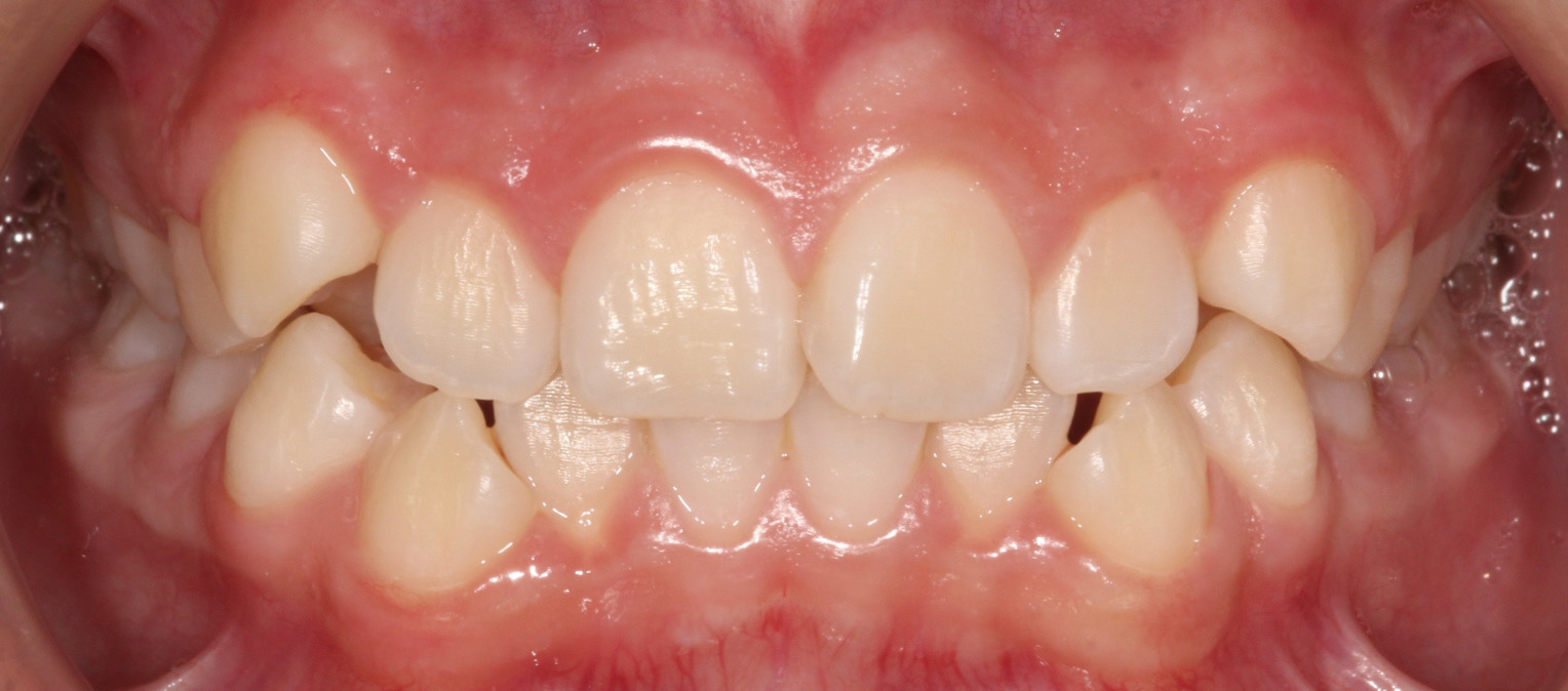
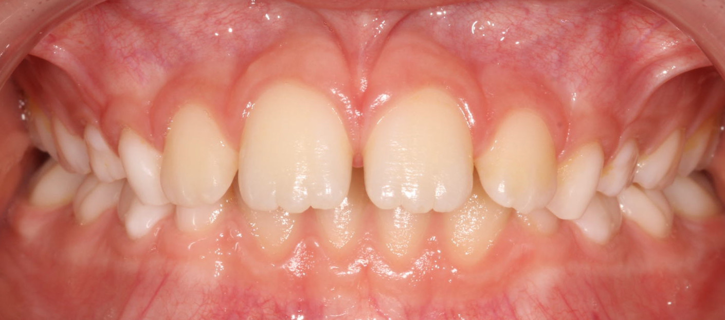
Vorher / Nachher






Haben Sie Fragen?
Zögern Sie nicht uns zu kontaktieren.
Wir werden uns schnellstmöglich bei Ihnen melden.





